Зачёт по патанатомии прошёл неплохо. Преподаватель...

Зачёт по патанатомии прошёл неплохо. Преподаватель раздал билеты для виду, мы быстро написали и ушли. В билете попался мой "любимый" вопрос про амилоидоз. Любимый, потому что информации много, но чего-то прям 100% нет.

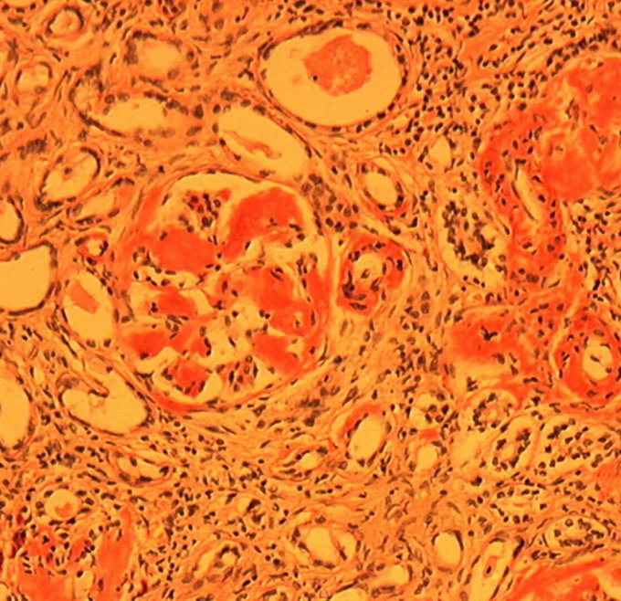
Амилоидоз - это болячки, когда в органах накапливается аномальный белок и на него никак не реагирует иммунная система. Накапливаться он может в любом органе, сосуде, нарушая его работу. Из примеров в лекции было про накопление амилоида в островках поджелудочной железы и в тканях мозга, что может быть одним из звеньев в развитии и сахарного диабета и болезни Альцгеймера. Классифицируют амилоидоз по составу белка и по этиологии. В состав амилоида могут входить цепи глобулинов, предшественники альбуминов и прочие белки или цепи аминокислот. По этиологии амилоидоз бывает первичный и вторичный. Если по-русски, то врождённый и развившийся в результате другого хронического воспалительного заболевания,онкологии, диализа, старческий амилоидоз. Также амилоидоз рассматривают как механизм приспособления. В этом случае патологический белок способен, скажем так, растворяться.

Врождённый - эт понятно: поломка в гене, который регулирует образование белка. В случае приобретëнного белок либо образуется в огромных количествах (напр. воспаление), либо он неправильный (онкология). Также в развитии амилоидоза играют роль макрофаги (клетки, которые съедают, грубо говоря,всё ненужное), клетки сердца, мышечные клетки сосудов.

На картинках микропрепаратов белок выглядит достаточно красиво. Единственный, наверно, его плюс.

 7 
 22
МариКа 04.06.2025 13:38
Мне всегда была интересна медицина, и иногда мне кажется, что зря я не пошла в мед.... а потом вспоминаю свою память и понимаю, что мне попросту не хватило бы мозга все это запомнить и потом пользоваться в работе)))) поэтому я экономист)))))
Ирина Макс 04.06.2025 13:43
Умничка! Так держать! Учиться на сташших курсах будет интересней и интересней, это в любом  вузе так, если к учёбе серьёзно относиться.
Валентина 04.06.2025 14:04
Вот ты молодец какая! ✊ уважаю!
МариКа, Зато не приходится после 6 лет учёбы работать за 500 рублëв. 😁
Хоть самой и нравится вот эти все механизмы, как оно выглядит, как оно проявляется, работает, я б многим не стала рекомендовать мед.
Ирина Макс, Меня старшие курсы привлекают возможностью параллельно работать средним медперсоналом.) Ну и возможность наконец засунуть нос в акушерство. 😁
МариКа 04.06.2025 14:17
Продуктовый адвокат,так не только у медиков маленькие зарплаты), я зарабатываю +- как доктор гос.больницы, только если ты хороший доктор, то есть дополнительные плюшки)
Ирина Макс 04.06.2025 14:19
Продуктовый адвокат, а меня бы патанатомия заинтересовала.
Море Перемен 04.06.2025 14:24
Получается, что онкология-это запущенный амилоидоз?
МариКа, Больницы и поликлиники - это две разные зп у педиатра. В больнице (т.е.стационаре) за выше и, в принципе, очень даже хорошая. Но для стационара нужна ординатура (минимум, 2 года) В поликлинике за может быть ниже, чем у медсестры (ниже 40 тыс примерно). Именно в случае педиатра. Про остальных врачей не могу сказать. Не спрашивала. У меня искренняя надежда проскочить работу педиатром и сразу пойти в ординатуру, работая акушеркой или медсестрой. 😅
Море Перемен, Онкология - поломка в ДНК, и она может проявляться милоидозом.
Ирина Макс, Красивая наука, если так можно выразится. Особенно на стëклах. 😍
Ирина Макс 04.06.2025 14:35
Продуктовый адвокат, прямо картина!
Онкология проявляется милоидозом..а милоидоз-Сахарным диабедом..какая же связь между диабедом и онкологией
Матильда 04.06.2025 15:06
Продуктовый адвокат, с медобразовпнием можно уйти в косметологию и колоть губы за очень большие грошыыы))
Или работать в платных центрах со временем
Вероника Лимонова, Онкология вызывает синтез аномальных белков, которые склеиваются и накапливаются в органах. И это не равно "амилоидоз вызывает диабет".
Между онкологией и СД нет взаимосвязи в этом посте.
Есть связь между накоплением амилоида и развитием СД и появлением онкологии, которая может приводить к накоплению амилоида. Это - два отдельных процесса. Но причин у появления этого белка, помимо рака, много: хроническое воспаление, генетика, возраст.
Матильда, Можно. Но мне интересно доставать орущих детей из орущих людей. 😁
Утешаю себя тем, что когда-то смогу в платную клинику пойти.
Матильда 04.06.2025 15:45
Продуктовый адвокат, платное ведение беременности и платные роды тоже есть
Продуктовый адвокат, 1 е.
неправильный белок накапливается в результате воспаления..хронического заболевания..а 2 е...неправильный белок от онкологии... Как два отдельных процесса.я правильно поняла?
Алин@ 05.06.2025 17:18
Молодец, Женя🤝💞🤗⛵️
Вероника Лимонова, Грубо говоря да.
ОдинИзСорока 08.06.2025 11:36
Продуктовый адвокат, не педиатры, конечно. Но есть у медиков солидные з/п - даже приглашают 🤗
😁
Лучшие рационы
Интересные блоги
Новые рецепты